Laboratory setting with microscope and  computer monitor displaying a tissue sample — overlaid with an abstract white dot pattern

What is CLDN18.2?

Detecting the presence of CLDN18.2 expression identifies a previously undefined patient population in gastric or gastroesophageal junction (G/GEJ) adenocarcinoma.1

Abstract pattern of grey concentric circles

A predictive biomarker that may help you learn more about your patients with advanced G/GEJ cancer

  • Claudins are a family of transmembrane proteins2,3
  • As a component of tight junctions, claudins are involved in the regulation of permeability, barrier function, and polarity of epithelial layers2,3
  • The ESMO Clinical Practice Guidelines highlight that CLDN18.2 is a new predictive biomarker for patients with advanced gastric cancer.4

Claudins are present throughout the body, but two specific isoforms of CLDN18 are localised to certain tissue types5,6

CLDN18.1

Green lung icon

CLDN18.1 is the dominant isoform in normal and malignant lung tissue

CLDN18.2

Green stomach icon

CLDN18.2 is the dominant isoform in normal gastric tissue and is often retained in malignant transformation

Screengrab of Dr. Matteo Fassan video "What Is CLDN18.2?"
play-icon

What-Is-CLDN

Video Description Title

Video Description description

What-Is-CLDN

closeicon
volumeicon

What-Is-CLDN

closeicon

What-Is-CLDN

What Is CLDN18.2?

Matteo Fassan, MD, PhD

Normal and tumour cell CLDN18.2 staining at 5x magnification

Normal and tumour cell CLDN18.2 staining at 5x magnification.

Preclinical data have shown that CLDN18.2 may become more exposed as gastric tumours develop5,7

CONFINED IN HEALTHY TISSUE

Normal gastric mucosa tissue with CLDN18.2 buried within tight junctions

In normal gastric mucosa, CLDN18.2 is typically buried within tight junctions.5,7

RETAINED AND EXPOSED IN MALIGNANT TRANSFORMATION

CLDN18.2 exposed due to cell polarity disruptions and structure loss

CLDN18.2 is often retained during malignant transformation. CLDN18.2 may be more exposed when cell polarity disruptions and structure loss occur.5,7,8

MAINTAINED IN METASTATIC PROGRESSION

CLDN18.2 expressed in lymph node metastases of gastric adenocarcinoma and other metastatic sites

CLDN18.2 may also be expressed in lymph node metastases of gastric adenocarcinoma as well as other distant metastatic sites.1,5,9,10

The information provided above is based on the current understanding of data.

CLDN18.2 expression can be observed in gastric and gastroesophageal adenocarcinoma, as well as other adenocarcinomas.5

spiralbackground
section-graphic-image
Image of various grey circles on dark background
Detecting the presence of CLDN18.2 expression identifies a previously undefined patient population1

According to 2 recent global studies in patients with locally advanced unresectable or metastatic G/GEJ adenocarcinoma, ~38% of cases demonstrated ≥75% of tumour cells with moderate-to-strong (2+/3+) membranous CLDN18 staining.11,12,*,†

  • Among advanced G/GEJ biomarkers, CLDN18.2 is prevalent11-14
  • Detecting CLDN18.2 can be accomplished by standard IHC staining methods, as with many other biomarkers11,12,14,15

Data from a retrospective analysis of 350 Caucasian patients with advanced G/GEJ cancer.1

† Data from 2 global randomized phase 3 studies: 1 study assessed 2403 patients, of which 922 were CLDN18.2 positive; the second study assessed 2104 patients, of which 808 were CLDN18.2 positive11,12

‡  Any detectable amount: moderate-to-strong membranous CLDN18 staining by IHC in any percentage of tumour cells.1

Graphic showing proportions of CDLN18.2 expression among all samples, and proportion of  samples with 75% of tumor cells expressing of 2+ and 3+ CDLN18.2 staining
According to 2 recent studies in patients with advanced G/GEJ cancer:

No clear differences have been observed in the prevalence of select biomarkers with respect to CLDN18.2 expression, including1,16,*:

  • HER2
  • PD-L1
  • dMMR
* Data from 2 single-institution studies. The first study was undertaken in Padua, Italy and included a large series of advanced GCs (n=280) and GECs (n=70).1 The second study was undertaken in 408 Japanese patients with advanced G/GEJ cancers.16
Despite recent treatment advances, there are still critical needs to address

*US SEER 22 (excluding IL/MA) 2013-2019, gastric and oesophageal cancers, distant stage.17,18

Locally advanced (stage II and III) and metastatic (stage IV) G/GEJ cancer per TNM staging classification as described in NCCN Guidelines.19,20

CLDN18.1, claudin 18 isoform 1; CLDN18.2, claudin 18 isoform 2; dMMR, deficient mismatch repair; ESMO, European Society for Medical Oncology; GCs, gastric cancers; GECs, gastroesophageal cancers; G/GEJ, gastric/ gastroesophageal junction; HER2, human epidermal growth factor receptor-2; IHC, immunohistochemistry; PD-L1, programmed death ligand 1; TNM, tumour node metastases.

NCCN makes no warranties of any kind whatsoever regarding their content, use or application, and disclaims any responsibility for their application or use in any way.

Image of combination of various light grey concentric and overlapping circles on light background

CLDN18.2 expression profile is similar across multiple histopathological parameters21

  • Between resection (37.0%) and biopsy (38.4%) samples of G/GEJ cancer
  • In gastric (40.8%) vs gastroesophageal junction (GEJ) (37.7%) cancer
  • Between proximal (42.1%) and distal (43.1%) locations in G/GEJ cancer
  • On archival and baseline (study screening) tissue in G/GEJ cancer*

*Samples used had varying times between collection of archival and baseline (21 to 1306 days) and number of intervening treatments during those periods.

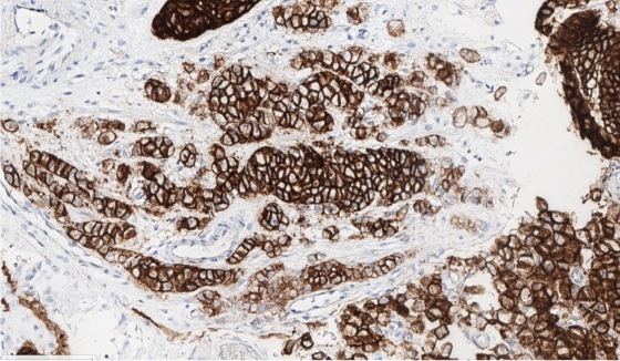
RESECTION OF GASTRIC CANCER

5x magnification of CLDN18-stained normal gastric epithelium and tumour cells.

5x magnification of CLDN18-stained normal gastric epithelium and tumour cells.

BIOPSY OF GASTRIC CANCER

stain-gastriccancer-5x

5x magnification of CLDN18-stained tumour sample with surrounding normal gastric glands.

stain-gastriccancer-20x

20x magnification demonstrating CLDN18 staining.



 

Abstract pattern of grey concentric circles on dark background
High-level concordance between primary and metastatic samples

Data in patients with G/GEJ cancers suggest that staining for CLDN18 demonstrated high concordance between primary and metastatic tumour samples.9

In a study of 523 primary G/GEJ adenocarcinomas and 135 pair-matched, synchronous modal metastases9:

86.7%
membranous staining concordance between matched primary and metastatic samples9
CLDN18.2 expression demonstrates intratumoural heterogeneity

As is the case with some other biomarkers such as HER2, CLDN18.2 expression may demonstrate variability within a tumour and this should be taken into account when sampling.9,22

In the same study that demonstrated high-level concordance between primary and metastatic samples, intratumoural heterogeneity in terms of CLDN18.2 expression was found in9,*:

  • 40.3%

    of primary GC tumours

  • 33.6%

    of primary GEC tumours

  • 28.8%

    of nodal metastases



*Intratumoural variability of membranous CLDN18 expression was investigated, considering CLDN18 expression among multiple TMA cores collected from different areas of the same tumour. A tumour was considered as CLDN18 heterogeneous in case of concomitant presence of high-CLDN18 and low-CLDN18 TMA cores.9

 

CLDN, claudin; CLDN18.2, claudin 18 isoform 2; GC, gastric cancer; GEC, gastroesophageal cancer; G/GEJ, gastric/gastroesophageal junction; HER2, human epidermal growth factor receptor-2; IHC, immunohistochemistry; TMA, tissue microarray.

MatteoFassan

CLDN18.2 is expressed consistently— making it a reliable biomarker for G/GEJ cancer.23

spirals_corner









 

Image of abstract pattern of concentric light grey circles on dark background

References: 1. Pellino A, Brignola S, Riello E, et al. Association of CLDN18 protein expression with clinicopathological features and prognosis in advanced gastric and gastroesophageal junction adenocarcinomas. J Pers Med 2021;11(11):1095. 2. Tsukita S, Tanaka H, Tamura A. The claudins: from tight junctions to biological systems. Trends Biochem Sci 2019;44(2):141-52. 3. Hu YJ, Wang YD, Tan FQ, Yang WX. Regulation of paracellular permeability: factors and mechanisms. Mol Biol Rep 2013;40:6123-42. 4. ESMO Gastric Cancer Living Guidelines (07-2023). https://www.esmo.org/living-guidelines/esmo-gastric-cancer-living-guideline/diagnosis-pathology-and-molecular-biology/article/diagnosis-pathology-and-molecularbiology. Accessed 09-07-2023. 5. Sahin U, Koslowski M, Dhaene K, et al. Claudin-18 splice variant 2 is a pan-cancer target suitable for therapeutic antibody development. Clin Cancer Res 2008;14(23):7624-34. 6. Niimi T, Nagashima K, Ward JM, et al. Claudin-18, a novel downstream target gene for the T/EBP/NKX2.1 homeodomain transcription factor, encodes lung- and stomach-specific isoforms through alternative splicing. Mol Cell Biol 2001;21(21):7380-90. 7. Sahin U, Schuler M, Richly H, et al. A phase I dose-escalation study of IMAB362 (Zolbetuximab) in patients with advanced gastric and gastro-oesophageal junction cancer. Eur J Cancer 2018;100:17-26. 8. Lamouille S, Xu J, Derynck R. Molecular mechanisms of epithelialmesenchymal transition. Nat Rev Mol Cell Biol 2014;15(3):178–96. 9. Coati I, Lotz G, Fanelli GN, et al. Claudin-18 expression in oesophagogastric adenocarcinomas: a tissue microarray study of 523 molecularly profiled cases. Br J Cancer 2019;121(3):257-63. 10. Rohde C, Yamaguchi R, Mukhina S, Sahin U, Itoh K, Türeci O. Comparison of claudin 18.2 expression in primary tumors and lymph node metastases in Japanese patients with gastric adenocarcinoma. Jpn J Clin Oncol 2019;49(9):870-6. 11. Shitara K, Lordick F, Bang YJ, et al. Zolbetuximab plus mFOLFOX6 in patients with CLDN18.2-positive, HER2-negative, untreated, locally advanced unresectable or metastatic gastric or gastro-oesophageal junction adenocarcinoma (SPOTLIGHT): a multicentre, randomised, double-blind, phase 3 trial. Lancet 2023;401(10389):1655-68. 12. Xu RH, Shitara K, Ajani JA, et al. Zolbetuximab + CAPOX in 1L Claudin-18.2+ (CLDN18.2+)/HER2– locally advanced (LA) or metastatic gastric or gastroesophageal junction (mG/GEJ) adenocarcinoma: primary phase 3 results from GLOW. Presented at: March American Society of Clinical Oncology Plenary Series; March 22, 2023. 13. Van Cutsem E, Bang YJ, Feng-yi F, et al. HER 2 screening data from ToGA: targeting HER2 in gastric and gastroesophageal junction cancer. Gastric Cancer 2015;18:476-84. 14. Fuchs Cs, Ozguroglu M, Bang YJ, et al. Pembrolizumab versus paclitaxel for previously treated PD-L1- positive advanced gastric or gastroesophageal junction cancer: 2-year update of the randomized phase 3 KEYNOTE-061 trial. Gastric Cancer 2022;25:197-206. 15. Abrahao-Machado LF, Scapulatempo-Neto C. HER2 testing in gastric cancer: an update. World J Gastroenterol 2016;22(19):4619-25. 16. Kubota Y, Kawazoe A, Mishima S, et al. Comprehensive clinical and molecular characterization of claudin 18.2 expression in advanced gastric or gastroesophageal junction cancer. ESMO Open 2023;8(1):100762. 17. National Cancer Institute. SEER Cancer Stat Facts: Stomach Cancer. https://seer.cancer.gov/statfacts/html/stomach.html. Accessed 05-11-2023. 18. National Cancer Institute. SEER Cancer Stat Facts: Esophageal Cancer. https://seer.cancer.gov/statfacts/html/esoph.html. Accessed 05-11-2023. 19. Referenced with permission from the NCCN Clinical Practice Guidelines in Oncology (NCCN Guidelines®) for Gastric Cancer V.1.2023. National Comprehensive Cancer Network, Inc. 2023. All rights reserved. Accessed 03-13-2023. To view the most recent and complete version of the guideline, go online to NCCN.org. 20. Referenced with permission from the NCCN Clinical Practice Guidelines in Oncology (NCCN Guidelines®) for Esophageal and Esophagogastric Junction Cancers V.2.2023. National Comprehensive Cancer Network, Inc. 2023. All rights reserved. Accessed 03-13-2023. To view the most recent and complete version of the guideline, go online to NCCN.org. 21. Shitara K, Xu R, Moran D, et al. Global prevalence of CLDN18.2 in patients with locally advanced (LA) unresectable or metastatic gastric or gastroesophageal junction (mG/GEJ) adenocarcinoma: Biomarker analysis of two zolbetuximab phase 3 studies (SPOTLIGHT and GLOW). Presented at the 2023 ASCO Annual Meeting; June 2-6, 2023; Chicago, IL, USA. 22. Grillo F, Fassan M, Sarocchi F, et al. HER2 heterogeneity in gastric/gastroesophageal cancers: from benchside to practice. World J Gastroenterol 2016;22(26):5879-87. 23. Cao W, Xing H, Li Y, et al. Claudin18.2 is a novel molecular biomarker for tumor‑targeted immunotherapy. Biomarker Research 2022;10:38.